|
Профилактика кариеса является решающей для сохранения здоровых зубов. Герметизация фиссур считается самым эффективным и надежным методом профилактики кариеса во всем мире.
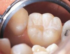
Фиссуры – углубления на окклюзионных (жевательных) поверхностях боковой группы зубов. Они могут быть узкими и достаточно глубокими. В
таких углублениях зачастую скапливаются остатки пищи и бактерии полости
рта, для которых фиссуры – это идеальные условия для закрепления и
размножения. Результатом их жизнедеятельности может стать кариес. Чтобы этого не произошло, такие фиссуры необходимо закрыть. Этот
материал (силант, герметик) за счет своей повышенной текучести, при
нанесении на фиссуры зуба, заполнит все труднодоступные и глубокие
поверхности. Активные ионы фтора в составе герметика дополнительно укрепляют зубную эмаль в области фиссур.
 Посмотреть технологию герметизации фиссур.
|
|
Новинки: - новая система фтористой профилактики кариеса Dental Resources - air flow в ортодонтической практике (для брекет системы) |
|
|
Обращаем
Ваше внимание, что все работы, представленные на данном сайте, являются
собственностью стоматологической клиники УрбанСмайл. |