|
Обращаем Ваше внимание! Перед любым видом отбеливанием требуется консультация врача!
 В нашей клинике применяется система кабинетного отбеливания Opalescence Xtra Boost (фирмы Ultradent (США))
Эта технология отбеливания зубов является клинически апробированной, безопасной для зубов и эффективной.
ЭТО: - Быстрое
и эффективное отбеливание в условиях стоматологического кабинета. Всего
за 45 мин. возможно отбелить зубы на несколько тонов.
- Для процедуры отбеливания не требуется изготовление индивидуальных капп
- Гель
самоактивируемый (в одном шприце находится уникальная химическая
субстанция, в другом - перекись карбамида) и поэтому активируется
без таких активаторов, как лазерный луч, свет специальных ламп, тепло и
т.д. Это дает возможность сэкономить время и средства пациента
CRA
клинические исследования постоянно показывают, что свет и тепло не
увеличивают осветление зубов и не являются обязательными для
кабинетного отбеливания витальных ("живых") зубов. Время контакта и
концентрация активных ингредиентов являются ведущими факторами. CRA Newsletter (Volume 4, Issue 4, April 2000) - Контакт геля с десной исключен, т.к. для защиты мягких тканей испольуется специальный материал OpalDam.
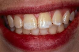
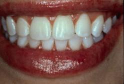
По материалам STI dent. см технологию кабинетного отбеливания Пример: 1.
исходное состояние
 2. после нанесения защитного барьера на десну и отбеливающего
геля на зубы.
 3. после смывания геля
 4. результат
 |
|
Новинки: - новая система фтористой профилактики кариеса Dental Resources - air flow в ортодонтической практике (для брекет системы) |
|
|
Обращаем
Ваше внимание, что все работы, представленные на данном сайте, являются
собственностью стоматологической клиники УрбанСмайл. |